Smile Gallery

The image shows a person with yellow teeth smiling at the camera.

Before

The image shows a close-up of a person s smiling face with teeth, likely for dental purposes or advertising.

After

The image displays two photographs of a person s teeth with significant tooth decay, showing the before and after effects of dental treatment, likely highlighting the importance of oral hygiene and professional care.

Before

The image shows a close-up view of a person s teeth with yellow stains, indicating potential dental issues such as plaque build-up or tooth decay.

After

The image shows a close-up of a person s face with a broad smile revealing teeth, with the focus on the teeth which have been altered to appear straight and white.

Before

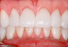
The image displays a close-up of a person s smiling face with a focus on their teeth, which are white and appear to be well-maintained.

After

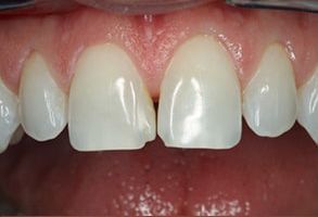
The image shows a close-up view of a person s teeth with a focus on their lower front teeth, which are chipped and have a yellowish hue.

Before

The image shows a close-up view of a person s teeth with a focus on a dental cleaning process, where one side of the mouth appears cleaner than the other due to the removal of plaque and stains.

After

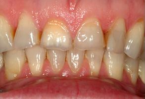
The image shows a close-up view of a person s teeth with visible stains and discoloration.

Before

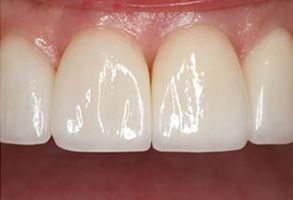
The image displays a close-up view of a person s teeth with a focus on the upper front teeth, which appear to be highly straightened and possibly enhanced cosmetically.

After

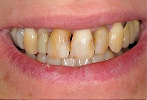
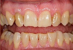
The image shows a close-up view of a person s teeth with a focus on discoloration and potential dental issues, such as decay or staining, set against a red background that could be indicative of gum inflammation.

Before

The image displays a close-up view of a person s teeth with visible stains, showcasing both natural and discolored enamel.

After

The image shows a close-up view of a person s teeth with a focus on a mouthpiece or dental appliance, which appears to be dirty and possibly damaged, with visible stains and wear, set against a blurred background that suggests a clinical setting.

Before

The image shows a close-up of a person s teeth with a focus on a large gap between two front teeth, which appear to be missing or extracted.

After

Hours of Operation

Monday
8:00 am - 5:00 pm
Friday
8:00 am - 5:00 pm
Saturday
8:00 am - 12:00 pm